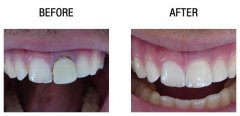
广州天河种植牙齿价格

提起种植牙齿来,相信许多牙缺失顾客都有所听说。但大多数人并不了解,种植...【详细】
广州天河种植牙齿疼吗?

种植牙 是人们牙齿缺失的重要选择,但是并不是所有的人对种植牙都很了解。...【详细】
广州天河种植牙寿命

种植牙为缺牙患者带来福音,以其不可替代的优越性,能够取代真牙行使牙齿咀...【详细】
种植牙现在多少钱一颗?

当我们的牙齿缺失之后,会严重的影响到一个人的美观的问题,单颗牙齿缺失,...【详细】
种植牙现在多少钱一颗?

当我们的牙齿缺失之后,会严重的影响到一个人的美观的问题,单颗牙齿缺失,...【详细】
广州天河植牙多少钱?

牙齿的缺失让大家灰心丧气,不能自信地露出自己的嘴巴。如今种植牙成为全球...【详细】
广州天河种牙齿好不好?

种植牙以其不可替代的优越性,可以取代真牙行使口腔咀嚼功能,受到广大缺牙...【详细】
广州天河种牙会疼吗?

牙齿是人重要的咀嚼食物的器官,一般在乳牙退完之后恒牙就会取而代之,而恒...【详细】
2016首场种植牙公益讲堂:孝敬父母 种口好牙

鸦有反哺之义,羊知跪乳之恩。自出生起,父母对我们的照顾和关怀不曾停歇,...【详细】
种一颗牙多少钱?

当我们的牙齿缺失之后,会严重的影响到一个人的美观的问题,单颗牙齿缺失,...【详细】
版权:广州穗华口腔医院
备案号:粤ICP备15046903号
医疗广告审查证明文号:粤(A)广(2025)第1188号