种好牙·过好年 微创无痛种植牙专场讲堂

春节假期临近,一大波美食正在靠近。很多缺牙患者都想趁着年前种口好牙过好...【详细】
1月17日畸形牙正畸沙龙 年终矫正盛“惠”

年关将至,亲朋好友团聚、同学联谊、相亲等仍将是春节不变的主旋律。牙齿是...【详细】
种植牙齿的危害

种植牙以其不可媲美的优越性,取代真牙行使口腔咀嚼功能,给缺牙患者带来了...【详细】
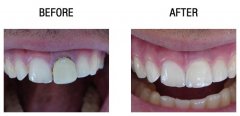
种植牙齿过程

种植牙有着几乎和自然牙相等的咀嚼力,能恢复美观和功能,可以让人们尽情享...【详细】
种植牙齿价钱

随着中国国民口腔健康意识的逐步提高,越来越多的老人开始关注起了种植牙,...【详细】
种植牙的价格

提起种植牙齿来,相信许多牙缺失顾客都有所听说。但大多数人并不了解,种植...【详细】
种植牙多少钱?

随着口腔医学技术的不断发展和进步,种植牙也越来越被人广泛接受。在广州,...【详细】
种植牙费用

随着中国国民口腔健康意识的逐步提高,越来越多的老人开始关注起了种植牙,...【详细】
种植牙价格表

种植牙,一直以性能优良、外观逼真、使用时间长的形象出现在公众面前,然而...【详细】
种一颗牙多少钱?

当我们的牙齿缺失之后,会严重的影响到一个人的美观的问题,单颗牙齿缺失,...【详细】
版权:广州穗华口腔医院
备案号:粤ICP备15046903号
医疗广告审查证明文号:粤(A)广(2025)第1188号