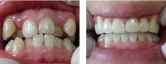
牙齿不齐应该怎么办?

拥有一口拥挤不齐的牙齿是让人苦恼的事情,不但不美观,还容易嵌塞食物,不...【详细】
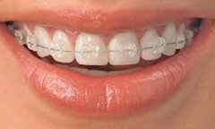
牙齿不齐矫正会痛吗?

一口整齐美观的牙齿笑起来能让人产生美好的印象,使人忘却烦恼。牙齿矫正能...【详细】
牙齿不齐矫正术后如何护理?

牙齿不齐可以通过牙齿矫正恢复牙齿的自然美观的形态,但是牙齿矫正不是一步...【详细】
牙齿不齐矫正多少钱?

很少有人能长有一口整齐美观的牙齿,大多数人都存在不同程度的牙齿不齐现象...【详细】
8月8日口腔健康专家大讲堂在穗华医院开讲

年龄一大,各种口腔问题就接踵而来。您是否有过这样的体会?因为牙齿脱落,...【详细】
牙齿不齐矫正有副作用吗?

牙齿矫正作为恢复牙齿自然美观的形态的方法,已经被大多数人所接受,但也有...【详细】
牙齿不齐矫正安全吗?

不少牙齿不齐的患者都想接受牙齿矫正,但是又听信了一些牙齿矫正会留下后遗...【详细】
牙齿不齐矫正效果怎么样?

牙齿不齐阻碍很多人的面部美观,现时代是个注重外部形象的今天,很多人都通...【详细】
牙齿不齐矫正效果好不好?

现代社会,越来越多的爱美者对于牙齿不齐感到非常烦恼,因此都选择牙齿矫正...【详细】
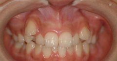
牙齿不齐矫正注意事项

牙齿不齐是常见的一种口腔畸形,表现为牙齿歪斜不正,刷牙不容易清洁干净,...【详细】
版权:广州穗华口腔医院
备案号:粤ICP备15046903号
医疗广告审查证明文号:粤(A)广(2025)第1188号