牙列拥挤不仅影响牙齿美观,还会影响身体健康,所以牙列拥挤必须通过矫正改变牙齿的形态,展现牙齿的自然美观。很多牙列拥挤患者想进行矫正,但又担心矫正有副作用,那么牙列拥挤矫正有副作用吗?下文为大家揭晓一下。

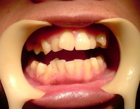
牙列拥挤
牙列拥挤矫正有副作用吗?牙列拥挤矫正技术迄今成熟
牙列拥挤矫正技术迄今已有一百余年的历史,早被证明是一项成熟完善的技术,目前并没有科学证据证明牙齿矫正会给患者带来副作用。有人担心牙齿矫正会将牙齿弄松,导致牙齿提前脱落,不过研究证明牙齿脱落是由于牙周炎引起的。
牙列拥挤矫正有副作用吗?牙列拥挤矫正可能出现的小问题
牙齿矫正可能会出现的小问题是牙齿脱矿和食物嵌塞。牙齿脱矿是指在矫正过程中,托槽周边或牙龈边缘位置出现的白垩色变化,一般是由于患者在矫正过程中没有仔细刷牙,没有维护好口腔卫生环境,致使牙齿表面的细菌产酸而使牙齿的颜色和实质发生变化。
穗华口腔 华南口腔正畸界的技术领导者
暨南大学附属口腔医院穗华口腔正畸科,是我院重点临床专科,由我国着名口腔医学专家吕培琨教授于1981年创建,是华南地区数字化技术口腔正畸诊断与治疗的领导者,水平一直处于国内领先地位。
科室先后引进了美国、德国、日本、丹麦等先进设备,医师运用计算机测量、辅助分析及先进的矫治技术,评估不同患者的牙齿与面颌部情况,量身设计个性化的口腔正畸治疗方案,科学的治疗方案,更使正畸时间缩短至传统正畸技术时间的1/3。其中,个性化舌侧矫治技术、成人高难度病例矫治已成为中心的特色及强项,每年诊治省内外大量转诊正畸疑难病例,是华南地区处理疑难病例及失败后再处理病例的重点专科。
由于篇幅有限,本文就为大家介绍这么多,关于牙列拥挤矫正有副作用吗?如果您还有疑问或想了解更多,可点击在线咨询,届时与我院专家一对一沟通交流。