牙齿矫正成功案例

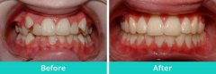
姓名:陈小姐 年龄:28岁 美牙技术:隐适美隐形矫正技术 美牙前:牙列拥挤、...【详细】
隐适美隐形矫正具有哪些优势?

牙齿矫正可以改变一个人的外在形象,令笑容更加散发出吸引人的魅力,并且牙...【详细】
隐适美隐形矫正效果怎样?

隐适美隐形矫正技术是现代流行新进的牙齿矫正技术,不仅可以有效的进行牙齿...【详细】
隐适美隐形矫正牙齿好吗?

随着口腔医疗科技的不断发展,牙齿矫正技术越来越完善,效果显着,其中隐适...【详细】
30岁矫正牙齿要多长时间?

王女士:30岁了,刚刚大学毕业了开始面临找工作了,但是牙齿畸形,想去医院...【详细】
成人牙齿矫正很疼吗?

现在很多成人由于小时候不注意牙齿的生长发育情况,导致现在牙齿畸形,而成...【详细】
28岁矫正牙齿难度大吗?

最近有位有矫正意愿的陈女士打电话咨询:今年28岁了,牙齿畸形多年了,现在...【详细】
成人矫正牙齿要多少钱 ?

小明今年刚刚大学毕业一年多了,因为牙齿畸形,影响到了他的日常生活和外在...【详细】
做虎牙矫正需要注意什么事项?

很多人小时候出现虎牙,认为是小事,没有去重视。随着年龄的增长,虎牙的牙...【详细】
虎牙需要拔除吗?

小铃的牙齿上有两颗虎牙,小时候看起来感觉比较可爱一些,但是长大了,虎牙...【详细】
版权:广州穗华口腔医院
备案号:粤ICP备15046903号
医疗广告审查证明文号:粤(A)广(2025)第1188号