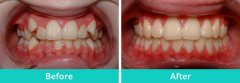
28岁矫正牙齿难度大吗?

最近有位有矫正意愿的陈女士打电话咨询:今年28岁了,牙齿畸形多年了,现在...【详细】
成人矫正牙齿要多少钱 ?

小明今年刚刚大学毕业一年多了,因为牙齿畸形,影响到了他的日常生活和外在...【详细】
做虎牙矫正需要注意什么事项?

很多人小时候出现虎牙,认为是小事,没有去重视。随着年龄的增长,虎牙的牙...【详细】
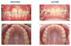
虎牙需要拔除吗?

小铃的牙齿上有两颗虎牙,小时候看起来感觉比较可爱一些,但是长大了,虎牙...【详细】
虎牙矫正需要拔除吗?

小孩子有虎牙感觉挺可爱的,但是孩子长大后,虎牙就长得突出,显得不可爱了...【详细】
做虎牙矫正需要注意什么事项?

生活中很多人会出现牙齿畸形的问题,许多人觉得虎牙问题是小事,不会及时去...【详细】
苏炳添、莫有雪获国侨办嘉奖

11月13日下午,暨南大学在邵逸夫体育馆举行体育学院揭牌暨苏炳添、莫有雪颁...【详细】
校董捐赠近7000万 支持教育事业

在暨南大学109周年校庆之际,暨大校董共向学校捐款5000万人民币、2000万港币,...【详细】
做牙齿矫正有年龄限制吗?

牙齿长得整齐洁白,很多时候会成为陪伴我们的一道靓丽的风景线,灿烂笑容更...【详细】
如何矫正牙列不齐呢?

牙列不齐属于畸形牙的一种,牙列不齐不仅影响一个人的外貌美观,而且还会影...【详细】
版权:广州穗华口腔医院
备案号:粤ICP备15046903号
医疗广告审查证明文号:粤(A)广(2025)第1188号