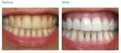
皓齿美白牙齿

牙齿发黄发黑?影响形象美观,不敢露齿微笑,影响人际交往,那么怎么样可以...【详细】
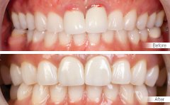
牙齿美白哪个医院好?

拥有一口整齐洁白的牙齿,可以让爱美者看起来更加具有亲和力。尤其是对于那...【详细】
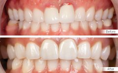
做牙齿美白去哪家医院好?

靓齿如贝是每个人都希望能够拥有的,但是由于各种各样的原因,很多人要面对...【详细】
广州哪家医院做牙齿美白好?

微笑是最漂亮的面部表情,无论是在工作上还是在人际交往上,笑容都是一块很...【详细】
“强网杯”广东省第一届网络安全大赛收官

12月11日,强网杯广东省第一届网络安全大赛决赛在暨南大学曾宪梓科学馆举行...【详细】
超薄瓷贴面 塑造明星般笑容

看着屏幕里的明星们个个拥有闪亮的笑容和洁白的牙齿,你是否也在羡慕?自古...【详细】
烤瓷牙失败如何处理?

烤瓷牙的流行是必然的,它外表逼真美观,兼顾耐磨,色泽接近天然牙,颜色可...【详细】
烤瓷牙需要多少钱?

烤瓷牙矫正技术可以让爱美女性变得更加美丽自信,绽放出完美迷人的笑容,这...【详细】
牙贴面怎么选择?

贴面是将牙齿唇侧(朝向外面的那一侧)表面磨除一层后用口腔专用材料重塑牙齿...【详细】
牙体修复要花费多长时间?

牙齿缺损在日常生活中时有发生,大多是由于外伤、口腔疾病等原因导致。牙齿...【详细】
版权:广州穗华口腔医院
备案号:粤ICP备15046903号
医疗广告审查证明文号:粤(A)广(2025)第1188号