国务院侨办领导莅校宣布校领导任免决定

12月18日上午,学校在曾宪梓科学馆国际会议厅召开干部大会,宣布国务院侨办...【详细】
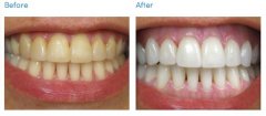
牙科如何美白牙齿?

色素牙并不是一天两天就能形成,因此,每天都不遗漏的牙齿清洁都挡不住牙齿...【详细】
专业美白牙齿的医院有哪个?

牙齿不重视很容易受到色素的烦扰,导致牙齿发黄发黑,影响个人的气质!作为...【详细】
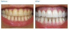
皓齿美白技术

色素牙在生活中很常见,呈现黄色或黄褐色等现象,使人们的外貌美观大打折扣...【详细】
皓齿美白专家

都说貌美齿为先,在这个世上,谁不希望自己的牙齿能够白白净净的呢?暨南大...【详细】
牙齿美白哪种方法好?

要想牙齿变得美白,让自己笑容更加的有自信,牙齿有色素的患者是需要做牙齿...【详细】
美白牙齿什么方法好?

清澈的眼眸,洁白的牙齿都是提高颜值的必备条件。除了提升颜值,雪白整齐的...【详细】
洁牙美白什么方法好?

拥有一口洁白美丽的牙齿是很多人的梦想,然而现实中不少人会因为氟斑牙而饱...【详细】
牙齿美白医院

拥有一口整齐洁白的牙齿,可以让爱美者看起来更加具有亲和力。尤其是对于那...【详细】
牙齿美白着名医院

一口洁白的皓齿是每个人都希望拥有的,但是由于各种各样的原因,很多人要面...【详细】
版权:广州穗华口腔医院
备案号:粤ICP备15046903号
医疗广告审查证明文号:粤(A)广(2025)第1188号