双颌前突矫正注意事项

现代医学的进步已经使得双颌前突矫正能得到很好地治疗,但是为了维护治疗的...【详细】
前牙开颌矫正医院哪家好?

牙齿矫正是治疗前牙开颌的最理想方法,通过医学的方法,用矫正器使牙齿进行...【详细】
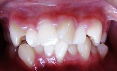
前牙开颌应该怎么办?

前牙开颌是一种复杂,易复发的牙齿畸形,前牙开颌的范围有小有大。生活中造...【详细】
前牙开颌矫正会痛吗?

前牙开颌通过矫正治疗可以恢复口腔自然美观的形态,很多前牙开颌患者都担心...【详细】
前牙开颌矫正多少钱?

前牙开颌是一种口腔畸形,通过矫正治疗可以恢复口腔自然美观的形态,对于前...【详细】
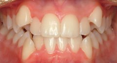
前牙开颌矫正有副作用吗?

前牙开颌表现为前牙颌突出,牙齿不能咬合,影响面部美观,影响牙齿咀嚼功能...【详细】
穗华口腔到越秀区东风二社区义诊

2015年8月8日, 暨南大学穗华口腔医院 微笑广州公益义诊活动再度延续,穗华口...【详细】
前牙开颌矫正有副作用吗?

前牙开颌不仅影响外貌美观,还会影响正常咀嚼,所以前牙开颌必须通过矫正改...【详细】
前牙开颌矫正多少钱?

前牙开颌属于牙齿错合,由于上下牙不能闭合,易形成口呼吸习惯,发生慢性牙...【详细】
前牙开颌矫正术后如何护理?

前牙开颌通过矫正的方法来改变牙齿形态,重塑牙齿健康美观的形态,已经被大...【详细】
版权:广州穗华口腔医院
备案号:粤ICP备15046903号
医疗广告审查证明文号:粤(A)广(2025)第1188号