多颗牙缺失有哪些危害?

多颗牙缺失造成的危害有很多,大家都有所了解,但是还有一些危害可能大家都...【详细】
做前牙种植去哪家医院好?

随着现代医学技术的进步,种植牙技术也越来越完善,做前牙种植的方法有很多...【详细】
种植牙的分类有哪些?

种植牙具有其他牙齿修复方式所不能媲美的特点:稳固、美观、使用寿命长、不...【详细】
全口牙种植需要多少钱?

拥有一口健康美观的牙齿是每个人心中的愿想,它不但肩负起一生的身体健康,...【详细】
全口牙缺失有哪些危害?

人上了年纪牙槽骨很容易萎缩,牙齿出现松动,咀嚼不力,随后逐渐脱落。很多...【详细】
全口牙缺失选择何种修复方式好?

牙齿好,身体才好,牙齿关系到身体健康,对于我们的重要性不言而喻。而上了...【详细】
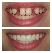
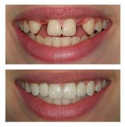
适合做前牙种植的人群

牙齿种植在国际上被认为是牙齿缺失的首选修复方式,受到了很多缺牙患者的亲...【详细】
种植牙会不会有什么后遗症?

种植牙是一个小手术,但对技术也有高要求,朋友们会担心种植牙会有什么后遗...【详细】
3D靶向种植牙手术网络现场双直播

8月23日上午9:30,全国首台现场网络双直播3D靶向种植牙手术将在暨南大学穗华...【详细】
多颗牙缺失种植贵不贵?

多颗牙缺失种植贵不贵?多颗牙缺失影响我们外貌美观和自身健康,进行牙齿修...【详细】
版权:广州穗华口腔医院
备案号:粤ICP备15046903号
医疗广告审查证明文号:粤(A)广(2025)第1188号