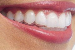
隐形牙套矫正期间如何清理牙齿?

如今,很多人运用隐形牙套矫正牙齿,也有不少人提问:隐形牙套矫正期间如何...【详细】
广州哪里牙科医院好

暨南大学附属第一医院,是拥有百年人文底蕴的暨南大学临床教学医院。暨南大...【详细】
错牙颌有什么影响?

错牙颌是指儿童在生长发育过程中,由于先天的遗传因素或后天的环境因素,如...【详细】
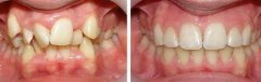
牙齿错位怎么治疗呢?

牙齿错位不仅影响牙齿美观,而且容易造成食物嵌塞,牙齿不容易清洁,导致一...【详细】
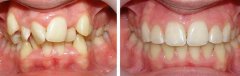
牙错位的危害有哪些?

牙错位的危害很多,对于牙错位的危害,大家了解多少呢?下文为大家介绍牙错...【详细】
牙错位怎么会出现?

拥有一口健康整齐的牙齿是每个人都想拥有的,然而往往不是事事都如人意,牙...【详细】
牙错位出现的原因和特征

在日常的生活中,我们的牙齿经常会出现各式各样的问题,比如牙齿缺损、牙齿...【详细】
牙错位矫正有哪些注意事项?

牙错位矫正可以改变牙齿错乱的局面,排齐错乱的牙齿,塑造牙齿自然美观的形...【详细】
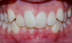
牙错位的表现特征

所谓病从口入,牙齿有问题必定影响我们的身体健康,牙齿错位就是一种典型的...【详细】
牙错位矫正价格贵吗?

对于牙齿有缺陷的人来说,他们幻想着牙齿的改变为他们的生活所带来的美好画...【详细】
版权:广州穗华口腔医院
备案号:粤ICP备15046903号
医疗广告审查证明文号:粤(A)广(2025)第1188号