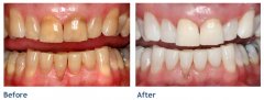
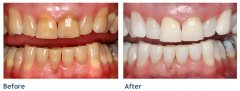
牙齿如何快速无痛变白?

穗华口腔专家指出:牙齿色素沉淀在生活中很常见,针对这一情况,牙齿美白技...【详细】
牙齿刷不干净怎么办?

有人会遇到这种情况,天天刷牙,牙齿还是好黄,好像刷不干净那样。一口洁白...【详细】
牙齿美白疑问全解答

明眸皓齿,自古便是对美人的描绘,但是在现实生活中,很多人经常被黄牙困扰...【详细】
茶渍牙会带来哪些弊端?

品茶品生活,喝茶已经是我们一种良好的生活习惯。茶里含有一种生物碱,在酸...【详细】
牙齿美白什么方法好?

随着现代牙科医疗技术的发展,茶渍牙美白有很多方法,如洗牙、喷砂美白、药...【详细】
茶渍牙美白后还要怎么保养?

茶渍牙在美白后,还要注意后期的保养,才能维持美白的效果,那么,茶渍牙美...【详细】
黄牙美白去哪里好?

黄牙美白,选择一家好的医院,挑选好的医师,找对合适的美白方法,保证牙齿...【详细】
黄牙美白去哪个医院好?

在生活中,牙齿发黄了,笑容显得难看,令人尴尬,需要通过牙齿美白来使牙齿...【详细】
牙齿发黄怎么办?

笑容能让我们绽放自己的光彩,感染到人,有利于增强良好的人际关系,想要绽...【详细】
抽烟导致的牙齿发黄可以美白吗?

据调查,中国有80%的人都在抽烟,在公共场所能看到很多人在抽烟,抽烟不仅会...【详细】
版权:广州穗华口腔医院
备案号:粤ICP备15046903号
医疗广告审查证明文号:粤(A)广(2025)第1188号