牙齿怎么变白?

洁白的牙齿能让人的笑容更美,可是即使是每天都清理牙齿,牙齿也有变黄的时...【详细】
茶渍牙怎么去除?

茶渍牙形成后靠刷牙是去除不了的,只有去牙科医院进行洁牙美白,才能清除牙...【详细】
茶渍牙带来哪些危害?

长期喝茶有益身心,但是长期喝茶也有一个弊端,长期喝茶会形成茶渍牙,令牙...【详细】
“名医大讲堂”: 种植牙怎么种才安全无痛?

图为钟院士在名医大讲堂上正在对慢阻肺进行宣传教育的讲座,现场座无虚席。...【详细】
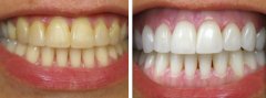
牙齿怎么能快速美白?

广州穗华口腔专家介绍说:现代生活中很多人的牙齿都有色素沉着问题,出现黄...【详细】
全国大学生电子设计竞赛暨南大学获13项奖

在刚刚结束评审的瑞萨杯2015全国大学生电子设计竞赛(广东赛区)上,暨南大...【详细】
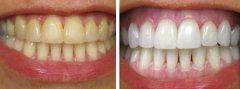
广州皓齿美白牙齿要多少钱?

牙齿靓丽洁白是现代爱美人士的一致追求,牙齿美白在时尚界出现了皓齿美白牙...【详细】
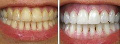
皓齿美白有哪些优点?

牙齿美白一直是爱美人士关心的问题,一口靓丽的牙齿能让我们的笑容更加美丽...【详细】
牙齿美白能维持多久?

俗话说貌美齿为先,齿白三分俏,牙齿美白不仅能提升一个人的气质,还能增强...【详细】
抽烟导致牙齿发黄要如何美白?

广州穗华口腔专家介绍说:长期抽烟会导致牙齿发黄,更有甚者牙齿发黑。牙齿...【详细】
版权:广州穗华口腔医院
备案号:粤ICP备15046903号
医疗广告审查证明文号:粤(A)广(2025)第1188号