牙齿拥挤需要矫正吗?

牙齿拥挤给生活带来了很多不便,令我们在和别人聊天时感到很自卑,不敢侃侃...【详细】
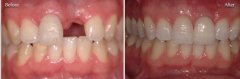
牙齿缺失影响健康吗?

很多人认为牙齿掉一两颗没有关系,照常吃东西,没感觉有什么不妥。其实不然...【详细】
老年人能做种植牙吗?

种植牙是目前牙齿缺失很好的修复方式,拥有其他牙齿修复方式无法媲美的优点...【详细】
种植牙应该怎么维护呢?

理论上说种植牙使用期限很长,可以长达四十年,但是种植牙使用期限的长短也...【详细】
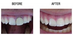
牙齿缺失要怎么修复?

由于每个人的口腔状况不同,牙齿健康程度也就不同。牙齿健康程度低所导致的...【详细】
种植牙怎么样?

有很多人知道种植牙是修复牙齿缺失的很好的方式,种植牙是牙齿缺失患者的一...【详细】
牙齿意外缺损了怎么办?

生活总有不如意的地方,就像我们的牙齿,意外导致缺损了,从此变得不自信起...【详细】
500多人挤爆会场:名医种植牙讲座成功举办!

2015年9月19日上午9点30分,广州日报联合暨南大学穗华口腔医院举办名医大讲堂...【详细】
牙齿拥挤有什么坏处?

牙齿拥挤是一大牙齿问题,不仅影响外形美观,也影响口腔健康,给生活带来了...【详细】
牙列拥挤的原因是什么?

牙列拥挤使清洁不易,造成龋齿和牙周病发病率高,而且非常影响外观。严重者...【详细】
版权:广州穗华口腔医院
备案号:粤ICP备15046903号
医疗广告审查证明文号:粤(A)广(2025)第1188号