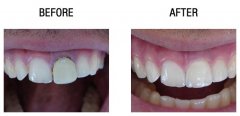
根管治疗是什么?

根管治疗是通过机械和化学方法去除根管内的大部 分感染物,并通过充填根管...【详细】
根管治疗需要注意的事项

根管治疗(root canal therapy)是牙髓病和根尖周病在国际上常用的有效治疗方法,以...【详细】
根管治疗 根治牙痛

根管治疗术是在国际上公认为治疗牙髓炎和根尖周病疗效非常好的方法,牙痛一...【详细】
广州专业口腔医院

口腔健康关乎身体健康,口腔问题势必影响到身体的健康,维护口腔健康,是维...【详细】
导致牙列拥挤的原因有哪些?

牙齿拥挤导致口腔清洁困难,容易造成食物嵌塞,形成龋齿、牙周病等,危害很...【详细】
后天哪些习惯会导致牙齿拥挤?

后天习惯对牙齿影响很大,不良的后天习惯会导致牙齿发育不良,那么哪些后天...【详细】
种植半口牙需要多长时间?

俗话说身体是革命的本钱,身体好了,做什么事情才会有劲。而口腔健康关乎身...【详细】
暨南大学代表团参加罗德斯大学“中国周”活动

9月21日至24日,为迎接全球孔子学院成立11周年,暨南大学在海外承办的第一所...【详细】
牙齿拥挤有什么不良影响?

牙齿拥挤是很多人都会出现的一种口腔情况,不但对容貌产生不良影响,也对身...【详细】
牙齿不齐有哪些坏处?

牙齿不齐在人群中很常见,牙齿不齐不但会影响牙齿美观,对口腔健康也很有影...【详细】
版权:广州穗华口腔医院
备案号:粤ICP备15046903号
医疗广告审查证明文号:粤(A)广(2025)第1188号