造成儿童龅牙的原因是什么?

龅牙严重影响孩子的身体和心理健康,广州穗华口腔专家指出:引起儿童龅牙的...【详细】
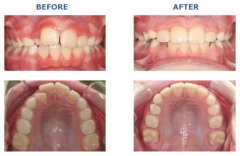
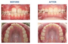
儿童地包天如何治疗好?

孩子因为在后天有很多不良的口腔习惯,如伸舌、咬唇等等,这些习惯都可能导...【详细】
如何让牙齿变齐?

许多人有时候没有保护牙齿的意识,致使长大后牙齿出现不齐的局面,牙齿不齐...【详细】
牙齿难看有什么影响?

牙齿长得难看,无论是吃喝或是欢笑,都显得非常拘束,给生活带来了很大的不...【详细】
隐形矫正牙齿需要多长时间?

隐形矫正是目前国际非常理想的矫正技术,可以实现个性化矫正,满足患者的不...【详细】
牙齿矫正会影响工作和生活吗?

牙齿矫正疗程一般都比较长,先进的牙齿矫正材料和技术能尽大限度地降低不适...【详细】
牙齿拥挤分几种情况?

有位朋友向小编叙述了自己的烦恼,小茗是位ktv达人,也就是大家常说的麦霸,...【详细】
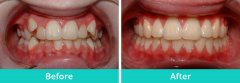
牙齿拥挤怎么治疗?

牙齿拥挤在生活中很常见,不仅会影响人的容貌,还会影响人的交际,所以牙列...【详细】
不同情况的牙齿拥挤怎么矫正?

牙齿拥挤让人的形象受损,让人感觉很尴尬,给生活带来很多不便,在现代每个...【详细】
四环素牙治疗不及时有什么危害?

四环素牙是在牙齿发育钙化期间如果过多地服用或注射某类药物如:四环素、金...【详细】
版权:广州穗华口腔医院
备案号:粤ICP备15046903号
医疗广告审查证明文号:粤(A)广(2025)第1188号