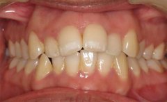
牙齿不齐怎么办?

随着现代口腔医疗技术的发展,牙齿不整齐 的问题也可以得到矫正,让牙齿重...【详细】
牙齿种植后要怎么保养?

种植牙具有其他牙齿修复方式无法媲美的优点,被广大牙齿缺失患者所接受。每...【详细】
什么时候种植牙好?

牙齿断裂了,这可怎么好?种植牙是现在社会牙齿修复方式的主要选择,种植牙...【详细】
十月敬老月系列公益活动正火热进行中

金秋送爽,又是一年一度的十月敬老月,暨南大学穗华口腔医院提出传承中华孝...【详细】
“百行孝为先”重阳节公益活动

正值重阳节来临之际,为呼吁全社会敬老爱老,构建幸福广东、和谐社会,暨南...【详细】
暨南大学舞蹈、武术艺术团组赴俄罗斯姐妹大学

9月21日至28日,应俄罗斯姐妹大学邀请,暨南大学学生艺术团及武术队师生组成...【详细】
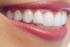
活动牙齿矫正需要注意什么事项?

牙齿在生长发育过程中,由先天的遗传因素或后天的环境因素,如疾病、口腔不...【详细】
孩子戴牙套需要多少钱?

不少孩子在牙齿生长发育阶段都会出现各种畸形,此时的牙齿畸形,会影响到以...【详细】
糖尿病人如何预防牙周炎?

糖尿病患者唾液分泌量会减少,相对来说对口腔内杂物的清洁效果也会降低,因...【详细】
牙周病怎么治疗?

牙周病常见的症状是牙龈出血,晚期出现牙齿松动。有牙齿健康的沉默杀手之称...【详细】
版权:广州穗华口腔医院
备案号:粤ICP备15046903号
医疗广告审查证明文号:粤(A)广(2025)第1188号