“老掉牙”非正常现象 缺牙不补危害大

爱是什么?有一种诗意又略显苍凉的说法是:爱是你的牙都掉光了,我吻你的牙...【详细】
预约种植牙讲座 赢10000元大奖

我国的种植体一般都是从国外进口的,价格也相对昂贵,我希望我国科研人员能...【详细】
“赢在创新”南校区环保科技项目获青睐

10月15日,赢在创新暨南大学本科生创新大赛第六季第一期在南校区举办,共有...【详细】
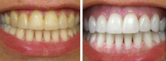
四环素牙可以用冷光美白吗?

四环素牙是指在牙齿发育的过程中,由于患者服用了四环素族药物,从而导致色...【详细】
哪些人适合做牙齿冷光美白?

穗华口腔医院牙齿冷光美白技术采用恒温纳米光,是现阶段的牙齿美白技术。它...【详细】
烟渍牙如何美白呢?

整齐洁白的牙齿是每一位爱美人士的追求,但由于生活上或 者是工作上的应酬...【详细】
牙齿发黄要怎么办?

暨南大学穗华口腔专家介绍说:牙黄、牙黑等一系列口腔问题都一直在困扰着许...【详细】
色素牙如何美白呢?

牙齿也要白富美!可是由于各种因素,牙齿上却出现了暗沉的色素,严重影响牙...【详细】
牙齿不齐如何矫正?

在社会竞争越来越激烈的今天,一副整齐的牙齿,漂亮的面型不仅有利于牙周健...【详细】
牙列不齐有什么影响?

牙齿不齐又称错颌畸形,是指儿童在生长发育过程中,由先天的遗传因素或后天...【详细】
版权:广州穗华口腔医院
备案号:粤ICP备15046903号
医疗广告审查证明文号:粤(A)广(2025)第1188号