种植牙的后遗症

牙齿的缺失影响患者面部的容貌,还会影响身体健康,所以牙齿的修复势在必行...【详细】
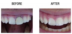
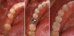
广州种植牙有什么坏处?

牙齿的缺失影响患者面部的容貌,所以牙齿的修复势在必行。而种植牙是现在牙...【详细】
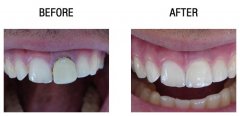
牙齿种植有什么缺点?

牙齿的缺失影响患者面部的容貌,所以牙齿的修复势在必行。而种植牙是现在牙...【详细】
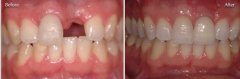
广州种植牙有什么缺点?

牙齿的缺失影响患者面部的容貌,所以牙齿的修复势在必行。而种植牙是现在牙...【详细】
种植牙有什么缺点吗?

牙齿缺失已经呈现年轻化趋势,由于遗传因素或外在意外导致牙齿缺失的人已经...【详细】
种植牙有什么优点?

牙齿的缺失影响患者面部的容貌,所以牙齿的修复势在必行。而种植牙是现在牙...【详细】
种植牙有什么优点?

牙齿的缺失影响患者面部的容貌,所以牙齿的修复势在必行。而种植牙是现在牙...【详细】
我院正式成为韩国登腾种植牙技术合作单位

10月29日上午,暨南大学穗华口腔医院与韩国登腾种植牙系统公司技术合作单位...【详细】
3D靶向种植牙技术完美解决牙齿缺失

种植牙是目前解决牙齿缺失问题的非常有效果的牙齿修复方式,效果较之其他牙...【详细】
种植一颗门牙需要多少钱?

门牙缺失了非常影响形象,还会导致说话漏风,影响发音,种植牙是现代能够代...【详细】
版权:广州穗华口腔医院
备案号:粤ICP备15046903号
医疗广告审查证明文号:粤(A)广(2025)第1188号