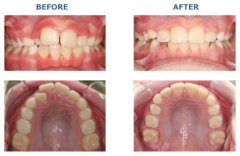
孩子牙齿咬合不良什么危害?

孩子牙齿咬合不良,影响孩子身心健康,应该给予重视,那么孩子牙齿咬合不良...【详细】
隐形矫正的效果如何?

牙齿矫正塑造牙齿健康美观的形态,让牙齿畸形患者重新拥有一口好牙,那么隐...【详细】
隐形矫正比传统牙套好在哪里?

牙齿畸形让我们的形象受损,因此牙齿矫正成为必要的事情,传统牙套不美观而...【详细】
牙齿错乱应该趁早矫正  

牙齿错乱是青少年发病率很高的一种牙病。如果牙齿不整齐未及时矫正,严重者...【详细】
隐适美隐形矫正更轻松

隐适美隐形矫正技术,说得通俗一点,就是一种不需要托槽和钢丝,采用透明高...【详细】
隐形正畸告别“钢牙妹”

传统牙齿矫正,非常影响美观,犹如铁嘴钢牙,时间长、不利于口腔卫生。现代...【详细】
隐形矫正——看不到的牙箍

隐适美隐形矫正,是现代口腔医学进步的结果,不影响外部形象美观,满足人们...【详细】
牙齿矫正可以了无痕迹

传统的牙齿矫正让人们排斥,不便之余还特别影响形象,现代口腔医学的发展,...【详细】
成人牙齿矫正注重美观

随着时代的进步,牙齿的作用已不仅仅停留在吃饭的层面上,还作用在形象的展...【详细】
隐适美矫正---让牙齿矫正跨入新时代

在现代形象的维护是非常重要的,即使进行牙齿矫正,也要维护形象的完好,随着现...【详细】
版权:广州穗华口腔医院
备案号:粤ICP备15046903号
医疗广告审查证明文号:粤(A)广(2025)第1188号