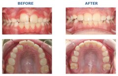
哪些儿童适合做牙齿矫正呢?

暨南大学穗华口腔专家为您做简单的介绍:牙齿错位、牙列不齐都属于错颌畸形...【详细】
成人牙齿矫正需要条件吗?

暨南大学穗华口腔专家指出,成人牙齿矫正比起青少年来说,所需要的时间和精...【详细】
箍牙期间可以喝碳酸饮料吗?

牙齿矫正期间要特别注意牙齿清洁,这是牙齿矫正专家特别嘱咐的事情,那么箍...【详细】
错颌畸形矫正失败原因在哪?

牙齿矫正可以塑造牙齿健康美观的形态,但是有的人牙齿矫正失败了,那么原因...【详细】
戴矫治器期间能喝碳酸饮料吗?

我们都知道牙齿矫正期间得非常注意口腔的清洁和干净,尽量食用完后都清洁口...【详细】
有牙周病可以矫正牙齿吗?

许多成年人面临这牙齿畸形的困扰,同时又面临着口腔健康问题的困扰,那么有...【详细】
箍牙前要进行什么检查呢?

箍牙前的检查至关重要,是为了让医生了解牙齿不齐者的具体情况,包括牙齿的...【详细】
牙齿矫正时间越短越好吗?

牙齿矫正塑造我们一口健康美观的牙齿,让我们的魅力得以展示,人们都想花费...【详细】
矫牙后都要戴保持器吗?

牙齿矫正后,为了巩固牙齿矫正的效果,都要给牙齿戴上保持器,那么矫牙后都...【详细】
经济学院建院35周年暨“创新•创业”论坛举行

卅五年沧桑砥砺,薪火相连;卅五载栽桃培李,春华秋实。11月8日上午,由经济...【详细】
版权:广州穗华口腔医院
备案号:粤ICP备15046903号
医疗广告审查证明文号:粤(A)广(2025)第1188号