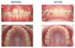
地包天矫正要拔牙吗?

地包天是临床上常见的牙齿畸形,大多数的患者表现为牙齿前突,形成一个弯弓...【详细】
地包天矫正要多少费用?

地包天矫正的费用,就像是得了一场感冒一样,一样有重轻之分,中西医疗法之...【详细】
矫正地包天会痛吗?

很多人在咨询时都有这样的担忧,矫正地包天会痛吗?随着人们生活水平和审美...【详细】
广州矫正地包天需要多少钱?

地包天给人们的生活带来了不少影响,对人的自信心造成了非常大的损害。那么...【详细】
快速矫正地包天多少钱?

地包天固然是件可恨的事情,然而,现代生活忙碌,有什么快速矫正地包天的办...【详细】
地包天矫正要花费多长时间?

地包天是一种较为常见的牙齿畸形现象,对儿童而言,严重影响孩子的生长发育...【详细】
成人地包天矫正有什么方法?

成人地包天不仅对个人的说话与进食造成影响,对个人的自信心也会有所损伤。...【详细】
牙齿矫正后会有后遗症吗?

有部分想矫正的朋友认为,牙齿矫正后会造成牙齿松动,甚至牙齿掉光等后遗症...【详细】
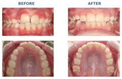
地包天矫正什么时候效果好?

正常情况下,牙齿都是上牙包在下牙外面,如果下牙包在上牙外面的话就被称之...【详细】
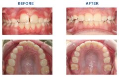
地包天矫正步骤是怎么样的?

随着科学技术的发展,越来越多的地包天患者选择矫正来改善牙齿,矫正对于很...【详细】
版权:广州穗华口腔医院
备案号:粤ICP备15046903号
医疗广告审查证明文号:粤(A)广(2025)第1188号