牙齿缺损有哪些修复方法?

一个好的形象对于我们做很多事情都是有可以加分的,伸手不打笑脸人。但是如...【详细】
“免疫功能调控的分子机制研究”创新引智基地

日前,教育部和国家外国专家局联合发布了《关于高等学校学科创新引智计划新...【详细】
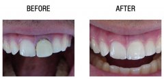
听口腔名家讲堂 看种植牙手术视频全程直播

2015年12月5日种植牙手术视频全程直播名额有限,赶快报名参与! 缺牙、掉牙是...【详细】
第三届免疫与健康国际学术研讨会在召开

11月21~22日,由暨南大学附属第一医院、生物医学转化研究院、广东省分子免疫...【详细】
本科生新型课堂再开课 增设“具网络人气项目

近日,赢在创新暨南大学本科生创新大赛(第六季第三期)在南校区举行。来自...【详细】
拔牙后能马上镶牙吗?

牙缺失对我们影响很大,因此一旦牙缺失需要及时镶牙修复,那么拔牙后能马上...【详细】
镶牙是什么?

镶牙,主要是针对牙齿缺损、牙齿缺失后的治疗工作,如嵌体、全冠、义齿等,...【详细】
广州镶牙多少钱?

镶牙是一种常规的牙齿修复方式,可以很好的恢复人们的牙齿缺失、缺损等情况...【详细】
广州镶牙哪里好?

牙齿缺失会对我们的个人形象,生活,工作等带来很多不良影响。因此不少人牙...【详细】
劣质镶牙会导致口腔癌吗?

在我国口腔癌并不少见,其发生率约占全身恶性肿瘤的1.75%~5.18%,并呈逐年上...【详细】
版权:广州穗华口腔医院
备案号:粤ICP备15046903号
医疗广告审查证明文号:粤(A)广(2025)第1188号