牙列不齐是目前比较常见的牙齿畸形之一,牙列不齐不但会给人们的生活造成很多的困扰 ,除了对牙齿产生不利的影响外,对人们的身心健康也产生不利的影响,随着牙齿美容技术的发展,牙齿美容修复技术出现了,那么牙齿美容修复能否牙列不齐呢?下文为大家揭晓一下。

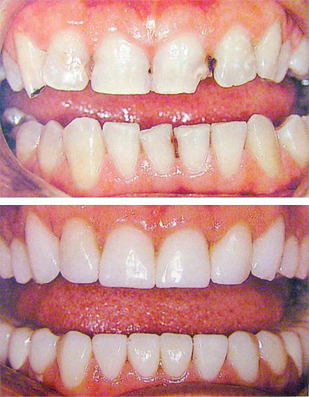
牙齿美容修复前后对比
下文先给大家介绍一个案例:
患者:王女士
年龄:26岁
牙症:牙列严重拥挤不齐
检查:牙列拥挤、不齐,牙齿咬合不好,X片显示根尖周无异常。
美牙方案:结合肤色、脸型,通过VITA比色仪器以及数码定位系统对牙齿进行检测,选定合适的美牙方案。
美牙技术:美容修复
美牙时间:7天
美牙后:牙齿恢复美观,重拾美丽的牙齿。
王女士长的很漂亮,而且工作能力比较强,年纪轻轻就被主任提升为总经理。被升为总经理的她应酬也开始多了起来,但是她的牙列不齐,使得她每次吃东西牙缝很容易残塞食物,饭后都要去剔牙,因此这让她感动很尴尬。造成这样的原因其实多半是由于她小时候太喜欢吃硬食物,因此牙齿错位换新牙而导致她的牙齿造成牙列不齐的情况。在事业上有所成就的她,为了避免自己的牙齿在工作上造成影响,后来她终于决定进行牙齿矫正修复。在朋友的介绍下,从朋友的口中得知美容修复可以矫正成年人牙列不齐的情况,后来经过朋友的介绍,第二天王女士来到穗华口腔进行美容修复修复。
“牙齿美容修复技术”是流行于欧美、日韩的一种新兴牙齿美容技术,在传统烤瓷牙的基础上强调牙齿的美容效果,对错位牙、畸形牙的临床部分施以多重专业技术,美容修复具有美牙不拔牙、无痛苦、时间短、牙齿坚固、多年后牙龈不会出现黑线,并能更好保护牙齿等优点 ,从而达到持久保障的美牙效果。
美牙修复适应症:可将严重的口腔牙列不齐、牙缝、四环素牙、氟斑牙、畸形牙、变色牙及各种牙齿缺损、牙齿缺失和烤瓷失败边缘发青等进行修复,让有牙病患者能够如愿以偿,恢复整齐洁白牙齿。除此之外,患有 牙周疾病的患者和龋齿患者,也可以通过美容修复解除疾病,可谓一举三得。
穗华口腔是您爱牙的放心之选
穗华口腔医院是拥有百年人文底蕴的暨南大学附属口腔医院临床教学医院,是广东省卫生厅批准成立的口腔专科医院,是集口腔诊疗、教学和科研为一体的现代化口腔综合医院,承诺永远以顾客的牙齿健康为必要因素,确保给顾客高性价比的口腔治疗,如果您还有什么问题或需要帮助,可在线咨询或拨打热线:020-62266666,将您的问题告诉在线医生,专家不仅能耐心为您分析解答,还能提供预约挂号的服务,让你就诊更方便快捷,“百度100遍,不如咨询一次”。