有很多人知道种植牙是修复牙齿缺失的很好的方式,种植牙是牙齿缺失患者的一个希望,因为种植牙有着其他牙齿修复方式无可媲美的优点,那么种植牙是怎么样的呢?请看下面详细介绍。
穗华口腔专家说,种植牙与传统的牙齿修复方法不一样,它需要分两次进行,种植牙是由位于牙槽骨内的种植体与暴露于牙龈外面的烤瓷牙两部分组成。第一部分是在将缺损牙齿拔掉之后,进行种植体,起着人工牙根以及人工附着器的作用,包括基台基桩,起到稳固烤瓷牙的作用。第二部分是进行烤瓷牙的镶嵌。在种植体种入牙槽骨3-6个月后,使种植体与牙槽骨牢固生长结合在一起,然后再在种植体上进行烤瓷牙修复,从而达到牙齿修复的目的。

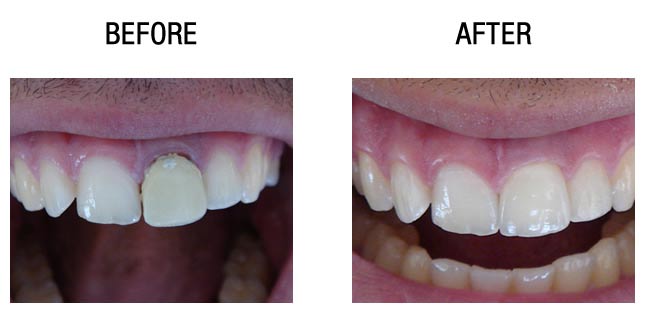
种植牙前后对比
种植牙可以帮助牙齿修复患者恢复正常咀嚼,因为咀嚼时牙合力通过种植体直接传输到牙槽骨内或者牙槽骨上,力量很快被分散到较大的支持颌骨内。因而能够承受比较大的牙齿咀嚼合力,具有很好的支持作用。种植牙比自然牙更加坚固,不会出现崩瓷或者脱落现象,但是种植牙是以牙槽骨为依托的,只要牙槽骨没有完全萎缩,种植牙的寿命基本是永久的。
技术推荐--3D靶向种植牙技术
3D靶向种植牙技术,是暨南大学多位种植名家多年积累的义齿修复技术和经验,与一系列国际前沿齿科设备结合的产物,应用意大利NewTom曲面断层扫描CBCT技术、德国WIELAND CAD/CAM计算机辅助设计与制作技术、美国Ambulanc笑气镇静镇痛系统、丹麦3shape 3D打印技术及3shape TRIOS激光扫描重建技术等,从5个方面打造穗华种植牙“40年预期留存率”超过90%的“长寿基因”!
1、定位更精准:CT3D颌面扫描、CAD设计方案,实现了种植体精准定位。
2、种植更安全:利用激光扫描和3D打印技术制作种植导板(用于精确指导种植体位置和方向的模板),医生在导板辅助下轻松手术,杜绝失误。
3、笑气镇痛更舒适:Ambulanc是目前欧美牙医的镇静镇痛技术,能让牙科恐惧症、晕血症和儿童患者轻松愉悦地“享受”牙科治疗。
4、治好牙周更长寿:种植牙患者大多有牙周病,而不治牙周病,种植牙迟早脱落。穗华口腔拥有华南领先的牙周科,跨科会诊确保高质量种植牙。
5、重建咬合更和谐:种植牙与邻牙不紧密易塞牙,与对牙不协调咀嚼无力。穗华口腔异常重视种植牙的咬合关系,力求让每一颗种植牙都与患者口腔和谐相处。
广州穗华口腔,您美牙护牙放心之选!
穗华口腔医院是拥有百年人文底蕴的暨南大学附属口腔医院临床教学医院,是广东省卫生厅批准成立的口腔专科医院,是集口腔诊疗、教学和科研为一体的现代化口腔综合医院,是您看牙的放心信赖之选!为了您的健康,请不要再以工作忙为借口拖延治疗。如果您还有其他问题或需要帮助,可以点击在线咨询,还可以拔打全国免费热线:020-62266666。百度100遍,不如咨询1次。