种植牙具有其他牙齿修复不能媲美的优点,是目前弥补牙齿缺失的很好的牙齿修复方式,很多人都选择了种植牙。但是很多人心里又有疑问:种植牙寿命长吗?下文为大家介绍一下。

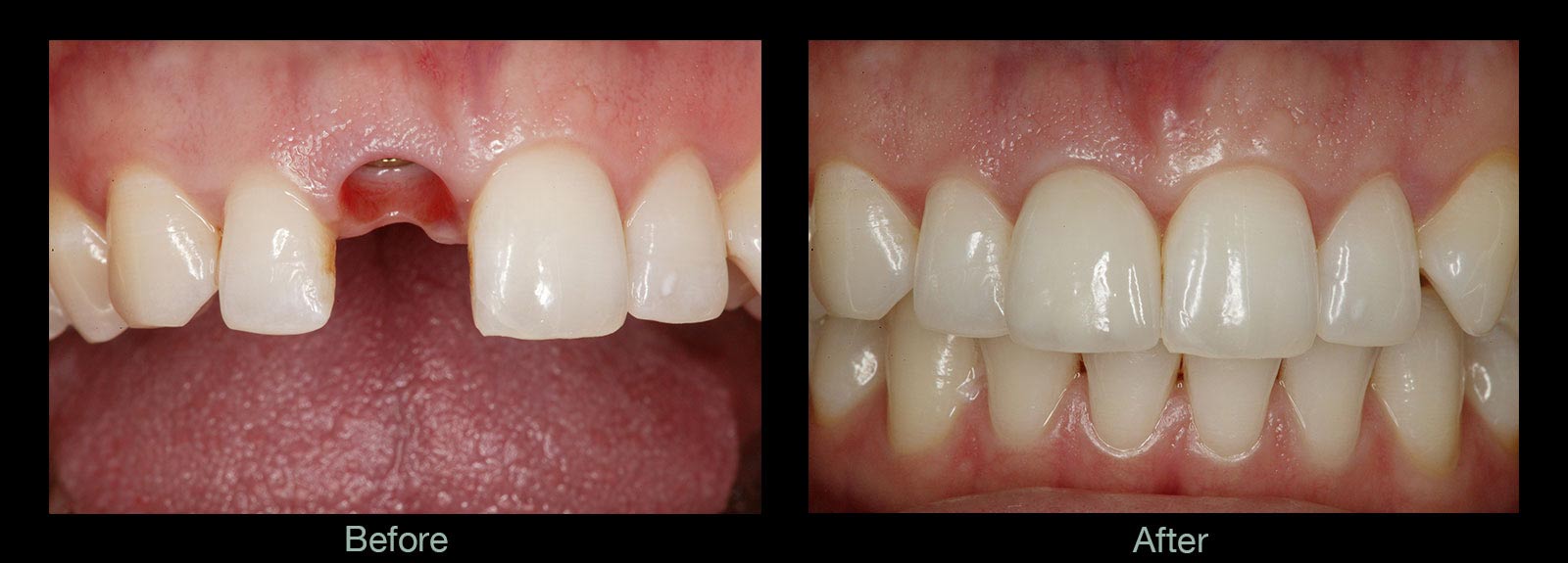
种植牙前后对比图
种植牙寿命的长短除了与治疗好坏有关外,还与患者日后的身体状况、使用及自我维护密切相关。而患者日后的身体状况、使用及自我维护是决定种植牙寿命的决定性因素。因此,接受了植牙的患者应做好自身口腔的清洁维护和定期的洁牙及清除牙菌斑的专业维护,只有这样才能使种植牙的寿命更长久。
那种植牙该如何维护呢?做好口腔卫生是延长种植牙寿命的关键,不但每天早晚要注意刷牙,平时一日三餐后也要漱口刷牙,清除干净牙齿的角角落落,避免细菌在牙齿缝隙中繁殖生长引发蛀牙。
另外,定期复诊检查也显得至关重要。种植牙各个结构之间是靠螺丝或黏结剂连接的。机械连接受到疲劳寿命和机械性能等的限制,易使种植牙的各个连接部分松动;黏结连接的可因黏结剂的松脱或老化而使修复体松动。零部件松脱和牙槽骨吸收经常是种植体过载的表现,需要患者及时到医院就诊,调整咬合,重新固定种植牙。
避免用种植牙咬硬物或是韧性特别大的食物这是必然的。穗华口腔专家还特别提醒,由于吸烟与口腔卫生、牙周附着降低有直接的因果关系,还可以降低机体抗感染能力,影响口腔内微生态环境,减少钙的吸收,引起骨丧失。因此,吸烟一直被认为是影响种植牙寿命的危险因素之一。
广州穗华口腔,您的美牙护理专家
穗华口腔医院是拥有百年人文底蕴的暨南大学附属口腔医院临床教学医院,是广东省卫生厅批准成立的口腔专科医院,是集口腔诊疗、教学和科研为一体的现代化口腔综合医院,是您看牙的放心信赖之选! 如果您还有其他问题或需要帮助,可以点击在线咨询,还可以拔打全国免费热线:020-62266666。百度100遍,不如咨询1次。